Home
About
Research
Projects
Network
Data access
Contact
Login
Remember Me
Forgot your password?
Log in
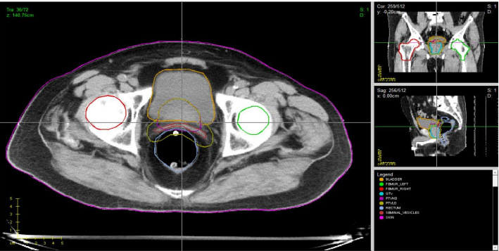
DEVELOPING NUMERICAL METHODS AND SIMULATIONS FOR TRAININGS IN RADIOTHERAPY
Development of simulation and forecasting models and integration with the TCIA database of medical images
Contact
Home
About
Research
Projects
Network
Data access
Contact
We use cookies to ensure that we give you the best experience on our website.
I accept